首页
医院概况
医院简介
领导班子
荣誉资质
医疗设备
医院环境
党建引领
党建工作
团建工作
医院资讯
医院新闻
医疗技术
专科专家
专家介绍
专科介绍
医院文化
医院文化
患者服务
服务信息
就诊须知
门诊排班
体检服务
科室分布
预约挂号
交通指南
健康教育
健康教育
人才工作
人才招聘
招标采购
采购公告
采购须知
资料下载
院务公开
公示
预约来访
您的位置:
首页
> 医院资讯 > 医疗技术
医院资讯
医院新闻
医疗技术
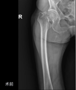
【省级专家就在家门口】82岁认知障碍老人骨折后重获站立,这场救治太暖了!
发布人:中山市东凤人民医院 发布时间:2026-02-12
对于年过八旬、患有阿尔茨海默病的老人来说,世界或许早已模糊,但疼痛却异常清晰。一次不经意的摔倒,脆弱的髋部发生骨折,剧痛与恐惧便会瞬间将他们淹没——这不仅是骨科急症,更是一场可能加速认知衰退、导致长期卧床甚至危及生命的挑战。而面对认知障碍的高龄患者,手术的风险与保守治疗的困境,往往让家属和医生陷入“做与不做”的两难。
近日,我院骨科在南方医科大学附属第三医院(广东省骨科医院)派驻专家、骨科学科带头人胡舒主任的指导下,以不放弃的医者初心和精准的微创技术,成功
为82岁的中度阿尔茨海默病患者刘奶奶(化名)实施人工股骨头置换术
,不仅精准治疗骨折,更以最小创伤降低术后关节脱位风险,为她留住了早期下床、回归熟悉生活的希望。
双重困境:当“骨折”遇上“遗忘”
刘奶奶在家中不慎跌倒,导致右侧股骨颈骨折。对于高龄老人,这被称之为“人生最后一次骨折”,保守治疗死亡率极高。
人工股骨头置换术是治疗这类患者的最优选择。
而刘奶奶的特殊情况在于,她患有
阿尔茨海默病
,无法清晰表达与沟通,并经常异常暴躁,不受控制。传统的置换手术虽能解决疼痛,但这类高龄患者,术中心脑血管风险,术后关节脱位风险,术后行为认知管理以及康复配合度,都是巨大的难题。
家属忧心忡忡:“她这么糊涂,能配合手术和康复吗?万一术后脱位,是不是就只能一直躺着?术后更狂躁怎么办?”多重顾虑之下,家属一度想过放弃治疗。
医者仁心:坚定选择“不放弃”
“
不放弃任何一丝治疗希望
!”面对双重挑战,我院骨科团队给出了坚定答案。在与家属反复充分沟通、详解治疗方案后,家属终于下定决心,与医护团队一起为刘奶奶的康复搏一把。
1.快速多学科评估
团队立即联合麻醉科、神经医学科、心理科进行会诊,一致认为:
手术是避免老人长期卧床引发肺炎、褥疮、血栓等并发症的唯一途径
,能尽快减轻痛苦,帮助她回归基本生活。保守卧床对痴呆老人而言,意味着身体功能与认知能力的加速衰退。
2.制定“个性化治疗方案”
在胡舒主任的带领下,骨科团队根据多学科会诊意见,制定精神方面的围术期用药方案以控制精神症状,同时采用单次腰麻以减少麻醉药物对大脑的刺激。术中通过多方面技术调整以缩短手术时间,且最大程度降低脱位风险,既采用微创切口,
不松解梨状肌显露,保留关节囊,适当调整股骨前倾角以及恢复下肢软组织张力等
,最终在术中测试了相对极端动作仍不会脱位的情况下结束手术。
精心护航:用耐心与专业跨越认知障碍
整个围手术期,骨科团队为刘奶奶开启了一场充满人文关怀的“特殊护航”。
▪术前:由熟悉的家属陪伴,医护人员用简单、重复的语言和安抚性接触进行沟通,减轻其焦虑。
▪术中:麻醉团队采用对认知影响最小的麻醉方案,全程严密监护。
▪术后:疼痛管理团队实施多模式镇痛,确保无痛;康复治疗师像家人般耐心鼓励,并辅助她进行安全的活动。
令人欣慰的是,术后第一天,刘奶奶就在搀扶下成功站立,脸上露出了久违的放松神情。家属悬着的心终于放下,一面锦旗、一封感谢信里饱含对医护团队的感激。
刘奶奶出院一个月后,胡舒主任还专程上门回访,细致查看陈奶奶的术后恢复情况,耐心为家属讲解居家康复注意事项,更手把手指导日常护理与康复训练的关键要点,以贴心的后续跟进,为老人的恢复筑牢坚实保障。
医者的价值,不仅在于治愈疾病,更在于守护生命应有的尊严与质量。面对刘奶奶这样的特殊患者,南医三院专家与东凤医院骨科团队携手,以永不放弃的医者初心和精准微创的专业技术,成功跨越年龄与认知的双重屏障。
我们始终坚信,每一个生命都值得被温柔以待,每一次重新“站立”的机会都值得全力以赴。东凤医院骨科老年创伤与关节团队,也将持续为高龄、高危骨折患者,提供最安全、最有效、最具人性化的个体化治疗方案,让夕阳之美,依旧温暖有力。