首页
医院概况
医院简介
领导班子
荣誉资质
医疗设备
医院环境
党建引领
党建工作
团建工作
医院资讯
医院新闻
医疗技术
专科专家
专家介绍
专科介绍
医院文化
医院文化
患者服务
服务信息
就诊须知
门诊排班
体检服务
科室分布
预约挂号
交通指南
健康教育
健康教育
人才工作
人才招聘
招标采购
采购公告
采购须知
资料下载
院务公开
公示
预约来访
您的位置:
首页
> 医院资讯 > 医疗技术
医院资讯
医院新闻
医疗技术
生死时速!我院ICU成功救治大面积肺栓塞患者,医患同心创造生命奇迹
发布人:中山市东凤人民医院 发布时间:2026-01-20
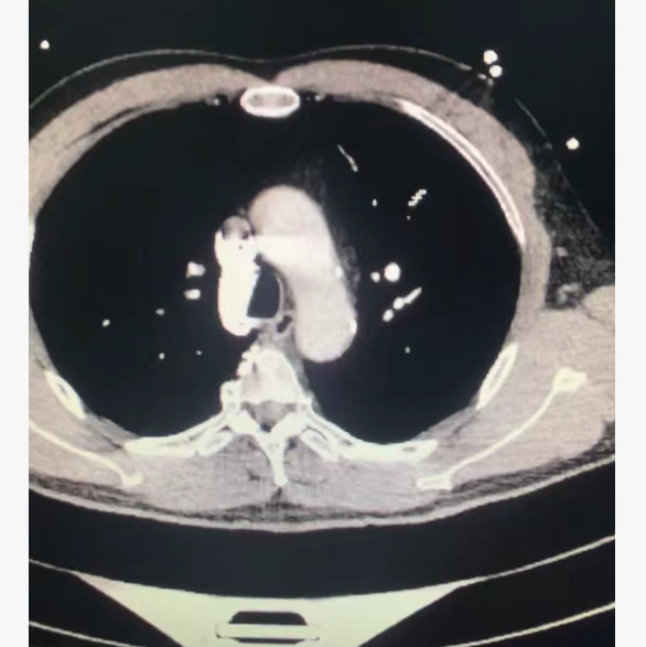
医生,我喘不上气……”近日,一名50多岁的男性患者因突发头晕、呼吸困难、气促被紧急送入我院急诊科。监护仪上跳动的血氧饱和度(88%-89%)、持续偏低的血压(70+mmHg),让在场医护心头一紧——这很可能是凶险的大面积肺栓塞!
1
突发险情:沉默的“隐形杀手”来袭
肺栓塞被称为“沉默的杀手”,大面积栓塞可在短时间内引发急性右心衰竭、休克甚至猝死。急诊科立即启动绿色通道,急查CT肺动脉造影(CTA),结果证实:患者肺动脉主干及主要分支被血栓完全阻塞,确诊为大面积肺栓塞,病情极度危急!
2生死抉择:无家属情况下的果断担当
时间就是生命!大面积肺栓塞需在黄金时间内溶栓,否则死亡率极高。然而,此时患者家属尚未赶到现场,怎么办?
“先救命!”
重症医学科立即向院领导请示,获得院领导同意后,值班医生向意识清醒的患者详细说明病情:“溶栓是唯一可能挽救生命的机会,但有出血风险,您愿意试试吗?”患者虚弱却坚定地点头:“我相信你们,救我!”一场与时间赛跑的生命救援,就此拉开序幕。
3
溶栓见效:从濒危到平稳的生命逆转
溶栓药物(重组组织型纤溶酶原激活剂)缓缓注入患者体内。ICU团队彻夜守护,每15分钟监测一次生命体征:
• 溶栓前:血氧饱和度88%-89%(正常>95%),血压72/45mmHg(休克临界值),呼吸急促至30次/分以上,意识模糊;
• 溶栓半小时后:血氧饱和度升至92%,血压回升至90/60mmHg;
• 溶栓1小时后:血氧饱和度稳定在98%-99%,血压升至112/78mmHg,呼吸频率降至22次/分,意识逐渐清醒。
当监护仪上的曲线趋于平稳,医护悬着的心终于放下——溶栓成功了。
4
守护新生:ICU团队的日夜坚守
“患者刚脱离危险,后续仍需密切观察出血倾向和右心功能。”ICU主任带领团队为患者制定了精细化护理方案:绝对卧床24小时防出血、动态监测凝血功能、预防下肢深静脉血栓复发……护士每小时巡视一次,记录每一次尿量、每一次血压波动。如今,患者已转入普通病房,呼吸平稳,能自主进食,脸上露出了久违的笑容。“谢谢你们没放弃我!”这句朴实的话语,是对医护最好的褒奖。
5
医患同心:共筑生命防线
这场生死救援,不仅是技术与速度的较量,更是医患信任的胜利:• 患者清醒时的果断抉择,给了医护放手一搏的勇气;• 多学科团队的快速响应(急诊科的绿色通道、ICU的勇于承担、放射科的积极配合),为抢救赢得宝贵时间;
• 医护“把患者当亲人”的坚守,让患者感受到生命的温度。温馨提示:肺栓塞高危人群(长期卧床、术后制动、肿瘤患者、久坐族)若出现不明原因呼吸困难、胸痛、咯血,务必及时就医!早诊断、早治疗是关键!
致敬每一位白衣战士,也致敬每一个勇敢信任的生命。
我院始终秉持“生命至上”的理念,用专业与担当守护百姓健康。